Spring promotion! $199 for cleaning, x-ray, & flouride treatment expires in November 2025
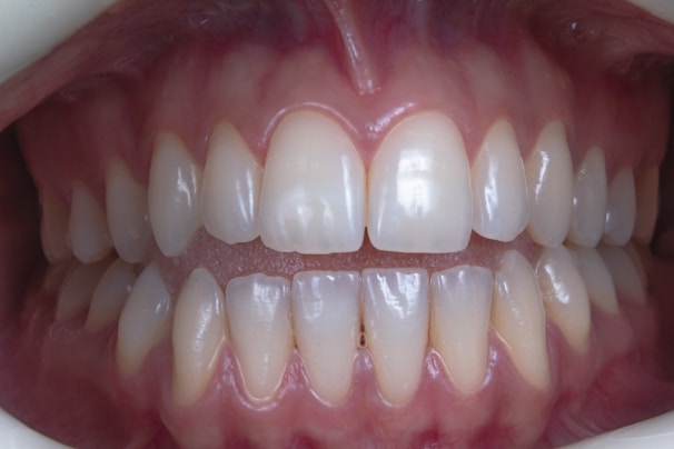
Glow with a Radiant Smile
Our Mission
Creating beautiful smiles at Memon Dental Care, our mission is to provide gentle, affordable, and advanced dental care in Castle Hill. We are dedicated to helping patients achieve healthy, beautiful smiles through preventive care, modern treatments, and personalized attention.
Our team of experienced dentists and dental hygienists combines state-of-the-art technology with a compassionate approach to dentistry. Whether you need a routine dental cleaning, root canal therapy, dental implants, bridges, dentures, or cosmetic dentistry services, our goal is to make every visit comfortable and stress-free.
We believe every patient deserves a confident smile — and we are committed to improving oral health for families and individuals in Castle Hill and surrounding communities.




Choosing the right dentist is an important decision. Here’s why patients trust us with their dental care:
1. Comprehensive Dental Services Under One Roof
From preventive checkups and fillings to root canals, dental bridges, dentures, crowns, and implants, we offer a full range of treatments so you don’t have to travel between offices.
2. Experienced & Caring Team
Our dentists and staff are known for their gentle touch, clear communication, and dedication to patient education. We treat you like family, not just a patient.
3. Affordable & Insurance-Friendly Care
We accept most major dental insurance plans, offer flexible payment options, and provide affordable solutions for root canals, dentures, implants, and cosmetic dentistry.
4. Convenient Location in Castle Hill
Located next to a large shopping center, our dental office is easy to reach and offers flexible hours, including evening and weekend appointments.
5. Trusted by Local Families
For years, we’ve proudly served the community, building long-lasting relationships with patients who rely on us for everything from children’s dentistry to restorative treatments.
Frequently Asked Questions 🦷
Q: How often should I visit the dentist?
A: Dentists recommend visiting at least every 6 months for a routine checkup and cleaning. Regular visits help prevent cavities, gum disease, and catch dental issues early before they become serious.
Q: Do you accept dental insurance?
A: Yes, we accept most major dental insurance providers. Our office can help you understand your benefits and file claims on your behalf. We also accept hospital vouchers and child dental benefit (medicare).
Q: What is a dental implant?
A: A dental implant is a titanium post placed into the jawbone to replace a missing tooth root. A crown is then attached, creating a permanent and natural-looking replacement tooth.
Q: Are dentures comfortable?
A: Modern dentures are designed to fit comfortably and look natural. Over time, adjustments may be needed as your mouth changes.
Q: What should I do if I have a toothache?
A: Rinse with warm water, floss gently to remove debris, and take an over-the-counter pain reliever. Call us right away to schedule an emergency dental appointment.
Q: What are dentures?
A: Dentures are removable appliances that replace missing teeth and surrounding tissue. They come in two main types: full dentures (for all teeth) and partial dentures (for some missing teeth).
Q: How long do dental implants last?
A: With proper care, dental implants can last a lifetime. They are considered the most durable tooth replacement option.
Q: Can I eat normally with dentures?
A: Yes! After an adjustment period, most patients can enjoy a wide variety of foods. Softer foods are easier at first, but chewing improves with practice.
Gallery
Explore our dental care journey with Dr. Memon.
